ODBUDOWA ZĘBA PO LECZENIU KANAŁOWYM (6)

W poprzednim artykule opisałam zabieg hemisekcji zębów. W tym miesiącu opiszę inny zbieg chirurgiczny na zębach leczonych kanałowo. 

Dzięki nowym technologiom coraz częściej można ratować zęby, które jeszcze niedawno były skazane na usunięcie. Jednym z takich zabiegów jest AMPUTACJA KORZENIA ZĘBA, zwana inaczej radektomią, lub radisekcją. Jest to zabieg chirurgiczny polegający na odcięciu jednego lub kilku korzeni zęba wielokorzeniowego, trzonowego lub przedtrzonowego. Pozostały korzeń, lub korzenie są pełnowartościowe i po odpowiednim leczeniu i odbudowie stają się funkcjonalnym zębem na długie lata. W odróżnieniu od hemisekcji pozostawia się tu koronę zęba.

 Jest to zabieg dość trudny, najczęściej przeprowadzany przez specjalistę w tej dziedzinie. Warunkiem niezbędnym do powodzenia zabiegu amputacji jest prawidłowo wykonane leczenie kanałowe oraz dokładne rozpoznanie anatomii zęba.
Decyzja o amputacji korzenia podejmowana jest indywidualnie w oparciu o badania kliniczne oraz radiologiczne, z uwzględnieniem stopnia utraty kości wokół korzeni, oraz stanu przyczepu nabłonkowego.

Amputację korzenia wykonuje się gdy nie ma możliwości pozostawienia korzenia, a sam ząb jest konieczny by wykonać leczenie protetyczne.

Poniższy rysunek przedstawia schemat amputacji jednego z korzeni zęba trzonowego górnego.


Wskazaniem do amputacji korzeni zębów są; złamania korzenia zęba, perforacja korzenia, próchnica korzenia czy dna komory zęba, resorbcja zewnętrzna czy wewnętrzna korzenia, złamane narzędzie w kanale, zmiany okołowierzchołkowe, obliteracja czyli zarośnięcie światła kanału, niemożliwość prawidłowego wykonania leczenia kanałowego,  proces chorobowy w obrębie rozwidlenia korzeni oraz pionowy ubytek kości wyrostka zębodołowego.
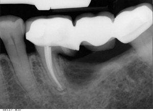
Zaletą amputacji  jest fakt, że zdrowa część zęba pozostaje w kości i po wygojeniu rany pozabiegowej, może służyć jako filar pod koronę lub most protetyczny. Poniższe zdjęcie rentgenowskie pokazuje wykorzystanie amputowanego zęba do utrzymania mostu.

Przeciwskazaniem do amputacji korzenia są zbyt krótkie korzenie zęba, powikłania w leczeniu kanałowym, choroby przyzębia, zęby mleczne oraz zły stan zdrowia pacjenta.

Odbudowa protetyczna zęba po amputacji nie jest procesem szybkim. Trzeba odczekać conajmniej 6 do 9 miesięcy na dobre wygojenie kości i dziąsła wokół operowanego zęba.

Ciągłe postępy w implantologii ograniczyły tego typu zabiegi. Usunięcie zęba i zastąpienie go implantem jest prostsze, szybsze i bardziej przewidywalne. Jeśli próba leczenia oraz uratowania własnego zęba jest zbyt zawiła, czasochłonna oraz obarczona zbyt wysokim ryzykiem niepowodzenia wtedy lepiej wykonać implant. Wybór metody leczenia należy oczywiście do pacjenta. 
 
 
. Dr Izabella Żaczkiewicz
 

ARCHIWUM FELIETONÓW

POLEĆ TEN ARTYKUŁ ZNAJOMYM Z FACEBOOKA
 


 

 


BIULETYN POLONIJNY, Postal Box 13, Montreal, Qc H3X 3T3, Canada; Tel: (514) 336-8383 fax: (514) 336-7636, 
Miesięcznik rozprowadzany bezpłatnie wśród Polonii zamieszkującej obszar Montrealu i Ottawy. Wszelkie prawa zastrzeżone.