ODBUDOWA ZĘBA PO LECZENIU KANAŁOWYM (8)

Nawet najlepiej wykonane leczenie kanałowe, nie zawsze umożliwia prawidłowe funkcjonowanie zęba. Czasem konieczne są zabiegi chirurgiczne. Poprzenio opisałam hemisekcję, amputację i resekcję wierzchołka zęba. W tym miesiącu opiszę zabieg premolaryzacji. 

Wszystkie wymienione wyżej zabiegi mają na celu zachowanie  w jamie ustnej  tych zębów które, w innym wypadku musiałyby być usunięte.

Postępy w iplantologii, oraz coraz większa dostępność tego typu leczenia znacznie ograniczyły stosowanie ryzykownych zabiegów chirurgicznych. Usunięcie zęba i zastąpienie go implantem jest prostsze i bardziej przewidywalne.

Dentysta może tylko sugerować sposób leczenia, wybór należy do pacjenta. Wielu pacjentów preferuje zachowanie własnego zęba i akceptuje podjęcie trudnego często leczenia.
Zabieg premolaryzacji należy do trudnych zabiegów, obarczony jest dużym ryzykiem niepowodzenia i powinien być wykonywany przez specjalistę z dużym doświadczeniem w tej dziedzinie.
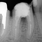
Na czym polega premolaryzacja?  Jest to przecięcie wzdłuż zęba trzonowego, z reguły dolnego, na dwie części tak aby powstały dwa przedtrzonowce (zdjecie poniżej) 

Jeśli przeleczony kanałowo ząb jest wrażliwy a zdjęcie rentgenowskie wykazuje defekt kostny w obrębie bifurkacji  czyli w miejscu rozdzielenia korzeni, wszystko wskazuje na to, że dno komory zęba jest zniszczone, a nieszczelnośc ta spowodowała zniszczenie kości w tym miejscu. Zachowawcze leczenie jest niemożliwe. 

Jeśli chce się uratowć taki ząb, jedynym rozwiązaniem jest separacja czyli premolaryzacja. Zabieg ten wykonuje się w znieczuleniu miejscowym. Wiertłem przecina się ząb, tak by odsłonić całą perforację dna komory. Stwarza się w ten sposób dwa oddzielne zęby. Miejsce przecięcia należy bardzo dokładnie i szczelnie zabezpieczyć kompozytem. Jest to dość trudne w wilgotnym, podziąsłowym miejscu. Jeśli leczenie kanałowe jest nieszczelne należy je wykonać ponownie.

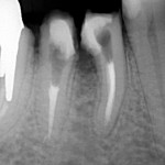
Poniżej zdjęcie rentgenowskie po zabiegu premolaryzacji. Widzimy już dwa oddzielne zęby.

Gojenie trwa około roku.

Jeśli zdjęcie rentgenowskie wykonane po roku pokazuje wygojoną kość a pacjent nie ma żadnych dolegliwośći, można przystąpić do odbudowy protetycznej.
 

Wykonuje się dwie mniejsze korony zamiast jednej, co umożliwia prawidłowe czyszczenie. Zęby wyglądają naturalnie i spełnieją swe funkcje.

Oczywiście nie wszystkie zęby trzonowe można w ten sposób leczyć. Musi być przede wszystkim bardzo dobra współpraca z pacjentem, dogodne warunki anatomiczne, dobre utrzymanie zęba w kości, brak przetok. Pacjent powinien być ogólnie zdrowy oraz rygorystycznie przestrzegać zaleceń lekarza.
 
 
. Dr Izabella Żaczkiewicz
 

ARCHIWUM FELIETONÓW

POLEĆ TEN ARTYKUŁ ZNAJOMYM Z FACEBOOKA
 


 

 


BIULETYN POLONIJNY, Postal Box 13, Montreal, Qc H3X 3T3, Canada; Tel: (514) 336-8383 fax: (514) 336-7636, 
Miesięcznik rozprowadzany bezpłatnie wśród Polonii zamieszkującej obszar Montrealu i Ottawy. Wszelkie prawa zastrzeżone.