ODBUDOWA ZĘBA PO LECZENIU
KANAŁOWYM (6)
W poprzednim artykule opisałam
zabieg hemisekcji zębów. W tym miesiącu opiszę inny zbieg chirurgiczny
na zębach leczonych kanałowo.
Dzięki nowym technologiom
coraz częściej można ratować zęby, które jeszcze niedawno były skazane
na usunięcie. Jednym z takich zabiegów jest AMPUTACJA KORZENIA ZĘBA, zwana
inaczej radektomią, lub radisekcją. Jest to zabieg chirurgiczny polegający
na odcięciu jednego lub kilku korzeni zęba wielokorzeniowego, trzonowego
lub przedtrzonowego. Pozostały korzeń, lub korzenie są pełnowartościowe
i po odpowiednim leczeniu i odbudowie stają się funkcjonalnym zębem na
długie lata. W odróżnieniu od hemisekcji pozostawia się tu koronę zęba.
Jest to zabieg dość
trudny, najczęściej przeprowadzany przez specjalistę w tej dziedzinie.
Warunkiem niezbędnym do powodzenia zabiegu amputacji jest prawidłowo wykonane
leczenie kanałowe oraz dokładne rozpoznanie anatomii zęba.
Decyzja o amputacji korzenia
podejmowana jest indywidualnie w oparciu o badania kliniczne oraz radiologiczne,
z uwzględnieniem stopnia utraty kości wokół korzeni, oraz stanu przyczepu
nabłonkowego.
Amputację korzenia wykonuje
się gdy nie ma możliwości pozostawienia korzenia, a sam ząb jest konieczny
by wykonać leczenie protetyczne.
Poniższy rysunek przedstawia
schemat amputacji jednego z korzeni zęba trzonowego górnego.
Wskazaniem do amputacji
korzeni zębów są; złamania korzenia zęba, perforacja korzenia, próchnica
korzenia czy dna komory zęba, resorbcja zewnętrzna czy wewnętrzna korzenia,
złamane narzędzie w kanale, zmiany okołowierzchołkowe, obliteracja czyli
zarośnięcie światła kanału, niemożliwość prawidłowego wykonania leczenia
kanałowego, proces chorobowy w obrębie rozwidlenia korzeni oraz pionowy
ubytek kości wyrostka zębodołowego.
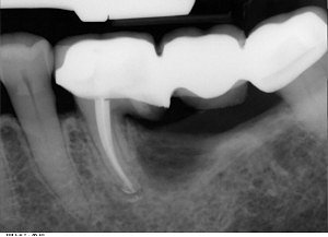
Zaletą amputacji jest
fakt, że zdrowa część zęba pozostaje w kości i po wygojeniu rany pozabiegowej,
może służyć jako filar pod koronę lub most protetyczny. Poniższe zdjęcie
rentgenowskie pokazuje wykorzystanie amputowanego zęba do utrzymania mostu.
Przeciwskazaniem do amputacji
korzenia są zbyt krótkie korzenie zęba, powikłania w leczeniu kanałowym,
choroby przyzębia, zęby mleczne oraz zły stan zdrowia pacjenta.
Odbudowa protetyczna zęba
po amputacji nie jest procesem szybkim. Trzeba odczekać conajmniej 6 do
9 miesięcy na dobre wygojenie kości i dziąsła wokół operowanego zęba.
Ciągłe postępy w implantologii
ograniczyły tego typu zabiegi. Usunięcie zęba i zastąpienie go implantem
jest prostsze, szybsze i bardziej przewidywalne. Jeśli próba leczenia oraz
uratowania własnego zęba jest zbyt zawiła, czasochłonna oraz obarczona
zbyt wysokim ryzykiem niepowodzenia wtedy lepiej wykonać implant. Wybór
metody leczenia należy oczywiście do pacjenta.
|