ODBUDOWA ZĘBA PO LECZENIU KANAŁOWYM (5)

Bardzo często zęby leczone kanałowo są zniszczone rozległą próchnicą lub złamane. Stan zapalny wokół korzeni, oraz parodontoza mogą znacznie komplikować odbudowę takich zębów.

Leczeniem z wyboru w takiej sytuacji może być HEMISEKCJA.

Jest to zabieg stomatologiczny przeprowadzany na zębach wielokorzeniowych, najczęściej trzonowych, po uprzednim leczeniu kanałowym.

Zabieg ten polega na separacji i usunięciu w znieczuleniu miejscowym jednego lub wiecej korzeni zęba wraz z częścią korony, przy pozostawieniu w jamie ustnej pozostałych korzeni. Najczęściej zabieg ten wymaga osteotomii, to znaczy wyrównania konturu kości wokół pozostawionego korzenia. Ząb taki należy przeleczyć protetycznie, korona jest niezbędna.

Hemisekcja jest wskazana gdy występują zmiany zapalne, okołowierzchołkowe przy korzeniach powikłane problemami periodontologicznymi (np.ubytek kości) lub gdy jest pionowe złamanie zęba lub korzenia.

Przeciwskazniem do hemisekcji jest zły stan zdrowia pacjenta, zaawansowane choroby przyzębia, zbyt krótkie korzenie lub powikłania w leczeniu endodontycznym( kanałowym) zęba.

Zabieg hemisekcji jest bezbolesny, pacjent znajduje się pod wpływem znieczulenia miejscowego. Trwa około godziny i czasem wymaga zażycia środków p.bólowych kilka godzin później.

Jest to zabieg bardzo delikatny i dość skomplikowany, trudny do przeprowadzenia. Wymaga od dentysty dużego doświadczenia w tej dziedzinie oraz zgody na ryzyko komplikacji ze strony pacjenta.

Udany zabieg hemisekcji pozwala na zachowanie naszego własnego zęba. Wykonywany jest najczęściej na zębach strategicznie ważnych dla funkcji żucia.

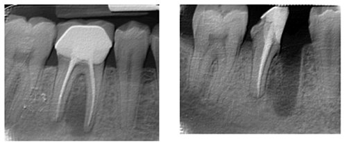
Na poniższym zdjęciu rentgenowskim (lewym) widać dwa korzenie zęba trzonowego. Lewy korzeń wygląda zdrowo. Natomiast prawy korzeń  przedstawia duże zaciemnienie wokół wierzchołka które świadczy o niewyleczonej infekcji. Na zdjęciu z prawej strony widać ten sam ząb po odcięciu chorego korzenia.

Po przeprowadzonym zabiegu hemisekcji, odbudowa protetyczna zęba jest dość czasochłonna i niezbyt prosta. Trzeba się upewnić że leczenie kanałowe jest szczelne oraz kość i dziąsło wokół korzenia wygojone. Formowanie się, czyli zarastanie kości po usuniętym korzeniu trwa kilka miesięcy (6-9). W tym okresie nie jest możliwe zastosowanie korony. Podobnie dzieje się wówczas gdy dziąsło wokół korzenia jest w stanie zapalnym.

Na rysunku poniżej mamy przedstawiony ząb po hemisekcji już okoronowany.


.
 
 
 
 
. Dr Izabella Żaczkiewicz
 

ARCHIWUM FELIETONÓW

POLEĆ TEN ARTYKUŁ ZNAJOMYM Z FACEBOOKA
 


 

 


BIULETYN POLONIJNY, Postal Box 13, Montreal, Qc H3X 3T3, Canada; Tel: (514) 336-8383 fax: (514) 336-7636, 
Miesięcznik rozprowadzany bezpłatnie wśród Polonii zamieszkującej obszar Montrealu i Ottawy. Wszelkie prawa zastrzeżone.