ODBUDOWA ZĘBA PO LECZENIU KANAŁOWYM (3)

W poprzednim artykule opisałam rolę jaką spełnia korona zainstalowana na zębie po leczeniu kanałowym. W tym miesiącu przedstawię korony porcelanowe.

Cieszą się one największym powodzeniem gdyż zapewniają najlepszą estetykę ze wszystkich koron. 

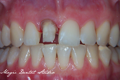
Pierwszym etapem w wykonywaniu korony jest oszlifowanie zęba we wszystkich trzech wymiarach by zrobić dla niej miejsce Najczęściej potrzeba zeszlifować około 1,5 milimetra.

Na zdjęciu poniżej widać ząb opiłowany pod koronę.

Poniżej ten sam ząb okoronowany.

Po oszlifowaniu zęba dentysta pobiera wycisk protetyczny, który pozwoli technikowi wykonać model zęba na którym wykonuje koronę.

Następnym etapem jest zacementowanie korony tymczasowej, wykonanej z akrylu lub tworzyw sztucznych. Korona tymczasowa jest jakby testem przed właściwą koroną. Pozwala ocenić rozmiar i kształt przyszłej korony oraz ustabilizować i ewentualnie wygoić podrażnione dziąsło. Zapewnia też ładny uśmiech na czas potrzebny do wykonania właściwej korony. Korona tymczasowa nie jest trwała i wymaga wymiany po kilku tygodniach. Estetycznie jest zbliżona do właściwej korony ale materiał, z którego jest wykonana z czasem zmienia kolor oraz nie zapewnia doskonałej szczelności.

Zwykle laboratorium dentystyczne potrzebuje kilku dni roboczych na wykonanie korony.

Na kolejnej wizycie mamy już ostateczna koronę. Dentysta sprawdza jej wykonanie, kolor, szczelność i punkty styczne z sąsiednimi zębami, wykonuje kontrolne zdjęcie rentgenowskie. Jeśli korona jest prawidłowo dopasowana i gdy pacjent czuje się z nią wygodnie oraz zaakceptuje wygląd, można dokonać cementacji.

Korony porcelanowe wyróżniają się najlepszą estetyką. Dzięki zastosowaniu tlenku cyrkonu wykazują również dużą wytrzymałość mechaniczną. Mogą być stosowane zarówno na przednich jak i na tylnych zębach.

W przyszłym miesiącu opiszę inne rodzaje koron.
 
 
. Dr Izabella Żaczkiewicz
 

ARCHIWUM FELIETONÓW

POLEĆ TEN ARTYKUŁ ZNAJOMYM Z FACEBOOKA
 


 

 


BIULETYN POLONIJNY, Postal Box 13, Montreal, Qc H3X 2T7, Canada; Tel: (514) 336-8383 fax: (514) 336-7636, 
Miesięcznik rozprowadzany bezpłatnie wśród Polonii zamieszkującej obszar Montrealu i Ottawy. Wszelkie prawa zastrzeżone.